Chi phí nieng rang tham my gia bao nhieu với trường hợp của mình, Cùng tìm hiểu thêm thông tin về niềng răng nhé. Niềng răng là giải pháp chỉnh nha được nhiều người lựa chọn để khắc phục tình trạng răng lệch lạc, hô móm của mình. Hiện nay, giá niềng răng tại các địa chỉ nha khoa có sự chênh lệch khác nhau, bởi còn phụ thuộc vào nhiều yếu tố.

Niềng răng thẩm mỹ
Niềng răng hiện nay có nhiều phương pháp để khách hàng lựa chọn phù hợp với mình nhất. Bao gồm những loại như: Niềng răng mặt trong, niềng mắc cài (sứ, kim loại), không mắc cài invisalign….
Chi phí niềng răng giá bao nhiêu thường không cố định mà phụ thuộc vào nhiều yếu tố như:
+ Phương pháp niềng răng mà bạn chọn.
+ Các khuyết điểm về răng miệng mà bạn gặp phải.
+ Trung tâm nha khoa bạn sẽ niềng răng.
Tại trung tâm nha khoa Châu Thành, để biết cụ thể về chi phí niềng răng giá bao nhiêu, khách hàng có thể trực tiếp đến trung tâm để được thăm khám và tư vấn miễn phí, bác sĩ sẽ cung cấp giá niềng răng phù hợp nhất với bạn. Hoặc bạn có thể tham khảo Niềng răng thẩm mỹ giá bao nhiêu của trung tâm nha khoa Châu Thành.
| Chỉnh răng bằng khí cụ tháo lắp | 2.000.000 – 5.000.000 / hàm | |
| Chỉnh răng hệ thống mắc cài thép | 30.000.000 | |
| Chỉnh răng hệ thống mắc cài thép tự buộc | 40.000.000 | |
| Chỉnh răng hệ thống mắc cài sứ | 40.000.000 – 45.000.000 | |
| Chỉnh răng hệ thống mắc cài sứ tự buộc | 55.000.000 – 60.000.000 | |
| Hệ thống mắc cài trong và hệ thống Invisalign | Tùy từng trường hợp | |
| Cắm minivit | 2.000.000/ cái | |
| Hàm duy trì tháo lắp hoặc cố định | 1.000.000/ hàm |
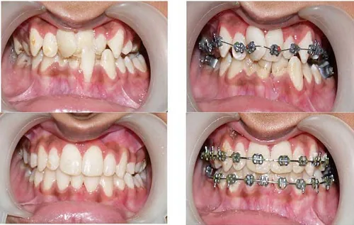
Hình ảnh thực tế khách hạng đã niềng răng tại nha khoa Châu Thành:
Trước và sau khi niềng răng
Khung giá chi tiết về niềng răng trên có thể thay đổi căn cứ vào tình hình bệnh lý của bệnh nhân và kế hoạch điều trị của Bác sĩ tại nha khoa Châu Thành. Để cho kết quả chuẩn xác cho câu hỏi nieng rang tham my gia bao nhieu tiền thì bạn nên đến trực tiếp nha khoa chúng tôi để được tư vấn, khám miễn phí.







Bọc răng sứ – Bọc càng nhiều – Giảm càng sâu. Ưu đãi lên đến 20{c259f37f497399d2fdfb32a8cf3a516884364a415248c8683ee21adc4f79f823}
[OFF 20{c259f37f497399d2fdfb32a8cf3a516884364a415248c8683ee21adc4f79f823}] Cơ hội lớn cho khách hàng Cấy ghép Implant
Đại tiệc sinh nhật 6 tuổi – Châu Thành [OFF 20{c259f37f497399d2fdfb32a8cf3a516884364a415248c8683ee21adc4f79f823}] chi phí thẩm mỹ nha khoa
Trả góp lãi suất 0{c259f37f497399d2fdfb32a8cf3a516884364a415248c8683ee21adc4f79f823} – Thẩm mỹ nha khoa – Không lo về giá
Cấy ghép răng implant và những thắc mắc thường gặp
Độ tuổi cấy ghép implant tốt nhất
Những câu hỏi thường gặp về niềng răng
Những thói quen hàng ngày làm răng xấu
Bọc răng sứ có đau không?
Có nên bọc răng sứ thẩm mỹ khi mang thai?
Bọc răng sứ thẩm mỹ sử dụng được bao lâu?
Những điều cần biết về tẩy trắng răng



















