Bọc răng sứ thẩm mỹ sử dụng được bao lâu? Đây là câu hỏi nhận được nhiều sự quan tâm bởi nó ảnh hưởng trực tiếp đến quyết định bọc răng sứ và tâm lý nói chung của khách hàng trước khi sử dụng dịch vụ. Để giải đáp câu hỏi này Nha Khoa Châu Thành xin chia sẻ một số yếu tố tạo nên sức bền và thời gian sử dụng của răng sứ để quý khách hàng được biết dưới đây:

Bọc răng sứ thẩm mỹ sử dụng được bao lâu?
Các yếu tố tạo nên sức bền của một răng sứ:
Thứ nhất: độ bền răng sứ phụ thuộc vào chất liệu sứ hay thương hiệu sứ: ở Việt Nam các dòng sứ nổi tiếng và phổ biến như Cercon, Cercon HT của hãng Dentsuply (Đức, Mỹ), KATANA (Nhật), Nacera (Đức), Ceramill ( Áo).
Về lý thuyết lẫn thực tế các loại sứ này đều cứng hơn răng thật và rất bền, rất khó hỏng nên bảo hành về lý do này nhiều nha khoa bảo hành cả đời.
Thứ hai: Thói quen ăn nhai thức ăn: có nhiều người có thói quen ăn những đồ ăn cứng, tác dụng lực ăn nhai quá lớn ảnh hưởng đến độ bền của răng.
Thứ 3: Kỹ thuật chuyên môn của bác sỹ: đây có thể nói đây là một yếu tố quyết định đến độ bền của chiếc răng sứ. Bọc răng sứ cần mài bớt răng thật đi cho nên bác sỹ phải có chuyên môn hiểu cấu trúc giải phẫu của răng, ở mỗi người hình dáng và độ dày của men răng cũng khác nhau.
Chính vì vậy nếu mài răng không đúng, phạm vào tủy răng hoặc mài quá mức có thể ảnh hưởng đến chất lượng răng sứ, bời vì răng sứ bọc trên răng thật nên độ bền của răng thật sau khi được mài quyết định độ bền của răng sứ.

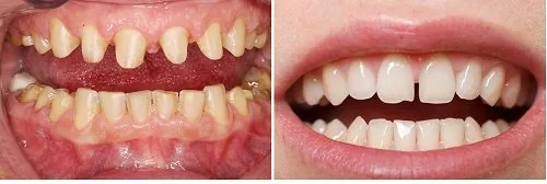
Kết quả bọc răng sứ của khách hàng (*)
Thứ tư: Yếu tố trang thiết bị máy móc và vật liệu: đây cũng là một yếu tố quan trọng và là một trong những yếu tố cấu thành nên giá răng sứ ở mỗi phòng răng. Trên thị trường có rất nhiều vật liệu gắn răng sứ với răng thật, cùng với hệ thống máy móc phụ trợ vậy nên răng muốn chắc bền thì chất gắn phải tốt.
Thứ năm: Độ bền của răng sứ cũng phụ thuộc vào việc chăm sóc răng: Răng sứ bọc trên răng thật nên độ bền của răng phụ thuộc vào chế độ chăm sóc giống như răng tự nhiên. Chải răng đúng cách, dùng chỉ nha khoa, vệ sinh răng miệng khoa hoạc theo chỉ dẫn của nha sỹ.
Như vậy độ bền của răng sứ và thời gian sử dụng răng sứ là rất bền nếu làm đúng kỹ thuật và đáp ứng được những yếu tố như trên. Thời gian thường là trên 10 năm hoặc chọn đời theo răng thật.
Hi vọng bài viết giúp ích cho bạn trong việc quyết định bọc răng, nếu còn băn khoăn và thắc mắc chi tiết hơn mời bạn gửi câu hỏi hoặc liên hệ với chúng tôi để được giải đáp cụ thể.







Bọc răng sứ – Bọc càng nhiều – Giảm càng sâu. Ưu đãi lên đến 20{c259f37f497399d2fdfb32a8cf3a516884364a415248c8683ee21adc4f79f823}
[OFF 20{c259f37f497399d2fdfb32a8cf3a516884364a415248c8683ee21adc4f79f823}] Cơ hội lớn cho khách hàng Cấy ghép Implant
Đại tiệc sinh nhật 6 tuổi – Châu Thành [OFF 20{c259f37f497399d2fdfb32a8cf3a516884364a415248c8683ee21adc4f79f823}] chi phí thẩm mỹ nha khoa
Trả góp lãi suất 0{c259f37f497399d2fdfb32a8cf3a516884364a415248c8683ee21adc4f79f823} – Thẩm mỹ nha khoa – Không lo về giá
Cấy ghép răng implant và những thắc mắc thường gặp
Độ tuổi cấy ghép implant tốt nhất
Những câu hỏi thường gặp về niềng răng
Những thói quen hàng ngày làm răng xấu
Bọc răng sứ có đau không?
Có nên bọc răng sứ thẩm mỹ khi mang thai?
Bọc răng sứ thẩm mỹ sử dụng được bao lâu?
Những điều cần biết về tẩy trắng răng



















