Được sự tin tưởng của quý khách hàng, gần 10 năm qua, nha khoa Châu Thành đã thực hiện thành công >10.000 ca chỉnh nha, phẫu thuật thẩm mỹ nha khoa và điều trị bệnh lý về răng miệng cho hàng ngàn khách hàng ở mọi độ tuổi khác nhau.
Kết quả khách hàng bọc răng sứ thẩm mỹ




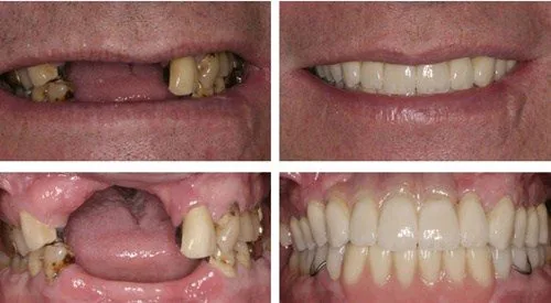
Kết quả khách hàng cấy ghép Implant


Kết quả khách hàng thực hiện hàm giả tháo lắp

Kết quả niềng răng


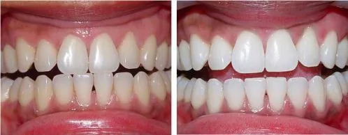
Kết quả khách hàng tẩy trắng răng








Bọc răng sứ – Bọc càng nhiều – Giảm càng sâu. Ưu đãi lên đến 20{c259f37f497399d2fdfb32a8cf3a516884364a415248c8683ee21adc4f79f823}
[OFF 20{c259f37f497399d2fdfb32a8cf3a516884364a415248c8683ee21adc4f79f823}] Cơ hội lớn cho khách hàng Cấy ghép Implant
Đại tiệc sinh nhật 6 tuổi – Châu Thành [OFF 20{c259f37f497399d2fdfb32a8cf3a516884364a415248c8683ee21adc4f79f823}] chi phí thẩm mỹ nha khoa
Trả góp lãi suất 0{c259f37f497399d2fdfb32a8cf3a516884364a415248c8683ee21adc4f79f823} – Thẩm mỹ nha khoa – Không lo về giá
Cấy ghép răng implant và những thắc mắc thường gặp
Độ tuổi cấy ghép implant tốt nhất
Những câu hỏi thường gặp về niềng răng
Những thói quen hàng ngày làm răng xấu
Bọc răng sứ có đau không?
Có nên bọc răng sứ thẩm mỹ khi mang thai?
Bọc răng sứ thẩm mỹ sử dụng được bao lâu?
Những điều cần biết về tẩy trắng răng



















