Theo thời gian hoặc do những thói quen hút thuốc lá, sử dụng đồ uống có chứa các loại phẩm màu độc lại, cafe lâu ngày khiến răng bạn mất đi vẻ trắng sáng ban đầu. Tẩy trắng răng chính là giải pháp hữu hiệu dành cho bạn. Tham khảo những vấn đề dưới đây để chắc chắn hơn về quyết định tiến hành tẩy trắng răng của mình nhé!

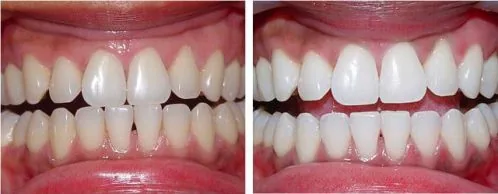
Kết quả tẩy trắng răng tại nha khoa (*)
Khi tiến hành tẩy trắng răng gặp phải các vấn đề về nướu phải làm sao?
– Tình trạng nướu và bệnh răng miệng phải được điều trị trước để chắc chắn rằng bạn có đủ sức khỏe và điều kiện để tiến hành tẩy trắng răng.
Kết quả tẩy trắng răng được bao lâu?
– Do cấu trúc men và sự khoáng hóa khác nhau ở mỗi người nên tạo ra kết quả tẩy trắng răng khác nhau. Thống kê cho thấy 90% đạt kết quả như mong muốn, 10% sẽ không đáp ứng được hoặc đáp ứng kém. Như trường hợp nhiễm Tetraciline nặng sẽ không đáp ứng tốt.
Trong trường hợp này khách hàng nên lựa chọn giải pháp bọc răng sứ sẽ cho hiệu quả tốt hơn và duy trì được lâu hơn.
Màu răng các vùng khác nhau. khi tẩy trăng răng có đều được không?

– Những vùng canxi hóa thấp men răng trắng không đồng đều, khi tẩy sẽ cho kết quả không đồng đều. trong trường hợp này nên nghe theo lời khuyên trực tiếp từ bác sỹ để có được lời khuyên chính xác nhất.
– Những miếng trám cũ, cầu, mão răng sẽ không đáp ứng với thuốc tẩy trắng.
Tẩy trắng răng bao lâu thì lên màu đẹp?
– Kinh nghiệm cho thấy nếu tẩy trắng tại phòng khám nha khoa bằng công nghệ hiện đại, sau 1 giờ răng bạn sẽ trắng sáng và sau đó sẽ sậm lại từ từ và sẽ ổn định sau 2 tuần.
– Các chuyên gia khuyên rằng nên chờ 2 tuần sau khi tẩy trắng răng mới tiến hành trám răng vì màu sắc ổn định hơn và chắc chắn chất tẩy trắng đã phóng tích khỏi men và ngà răng vì lượng chất tẩy còn lại trong lại trong răng sẽ ngăn cản quá trình kết dính của composite.
– Phải có sự kiểm soát cẩn thận màu của Bác sỹ để tránh trường hợp răng bị tẩy quá mức.
– Một số vết dính trên men răng không đáp ứng với tẩy trắng răng do điểm ố màu quá sậm có thể sử dụng Opalustre để tạo lớp bào mòn trước khi tẩy.
Hiện nay trên thị trường có xuất hiện nhiều loại thuốc tẩy trắng răng quảng cáo cho hiệu quả tức thì. Tuy nhiên, theo các bác sỹ của Nha khoa Châu Thành, với các cách làm trắng răng cấp tốc sẽ gây mất men răng và có thể ảnh hưởng đến nướu.
Do vậy, khách hàng nên lựa chọn phương pháp tẩy trắng răng ở nhưng cơ sở thẩm mỹ nha uy tín để được đảm bảo về chất lượng và mức độ an toàn.







Bọc răng sứ – Bọc càng nhiều – Giảm càng sâu. Ưu đãi lên đến 20{c259f37f497399d2fdfb32a8cf3a516884364a415248c8683ee21adc4f79f823}
[OFF 20{c259f37f497399d2fdfb32a8cf3a516884364a415248c8683ee21adc4f79f823}] Cơ hội lớn cho khách hàng Cấy ghép Implant
Đại tiệc sinh nhật 6 tuổi – Châu Thành [OFF 20{c259f37f497399d2fdfb32a8cf3a516884364a415248c8683ee21adc4f79f823}] chi phí thẩm mỹ nha khoa
Trả góp lãi suất 0{c259f37f497399d2fdfb32a8cf3a516884364a415248c8683ee21adc4f79f823} – Thẩm mỹ nha khoa – Không lo về giá
Cấy ghép răng implant và những thắc mắc thường gặp
Độ tuổi cấy ghép implant tốt nhất
Những câu hỏi thường gặp về niềng răng
Những thói quen hàng ngày làm răng xấu
Bọc răng sứ có đau không?
Có nên bọc răng sứ thẩm mỹ khi mang thai?
Bọc răng sứ thẩm mỹ sử dụng được bao lâu?
Những điều cần biết về tẩy trắng răng



















