Sự ra đời của công nghệ răng sứ Veneer là bước đột phá trong thẩm mỹ răng, làm phong phú thêm sự lựa chọn cho những ai muốn làm răng thẩm mỹ. Với công nghệ mới bảo tồn tối đa mô răng thật, hạn chế mài răng mà vẫn phục hồi vẻ đẹp thẩm mỹ và chắc khỏe. Nha Khoa Châu Thành tự hào là trung tâm nha khoa luôn đi đầu trong việc ứng dụng công nghệ mới, cùng với đội ngũ bác sỹ nhiều năm kinh nghiệm làm răng thẩm mỹ nên khách hàng có thể tin tưởng và yên tâm khi lựa chọn dịch vụ.

Răng bạn có phù hợp làm răng sứ Veneer?
Răng sứ Veneer là sản phẩm phục hình răng thẩm mỹ cao và nhanh chóng nhất hiện nay. Tuy nhiên, không phải tất cả các trường hợp đều dành cho giải pháp răng sứ Veneer, bạn cần đến bác sỹ chuyên khoa để được kiểm tra và tư vấn chuyên sâu để có được giải pháp đúng và hiệu quả cho vấn đề của mình.
Những trường hợp răng xấu có thể ứng dụng Veneer sứ như răng bị nhiễm màu Tetracycline không thể tẩy trắng được hoặc răng bị mòn, mẻ, vỡ nhỏ, răng thưa, khớp cắn hở nhẹ, một số trường hợp độ lớn các răng trên hàm không đều (quá to hoặc quá bé), mặt răng không nhẵn bóng.
Vì sao bạn nên lựa chọn dán sứ Veneer là giải pháp thẩm mỹ răng?
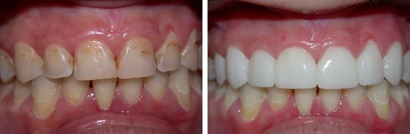
Kết quả sử dụng miếng dán sứ Veneer


Răng sứ Veneer được các chuyên gia răng sứ đánh giá là kỹ thuật làm răng thẩm mỹ bảo tồn răng thật tối ưu hiện nay. Veneer hiện đang là sản phẩm được ưa chuộng tại các nước phát triển trên thế giới khu vực Châu Âu, Châu Á như Anh, Nhật, Hàn Quốc, Singapore,…
Dán sử Veneer sở hữu các ưu điểm:
⇒ Mang tính thẩm mỹ cao
Răng sứ Veneer có màu trắng tương tự ngà răng thật, với độ trong, bóng giống như răng được tẩy trắng, được “thiết kế” với độ “gợn” tự nhiên giống như mặt răng thật.
Bởi vậy, răng sứ Veneer được đánh giá là có khả năng tạo nên vẻ thẩm mỹ cao nhất trong tất cả các loại sứ phục hình thẩm mỹ.
⇒ Kỹ thuật mài răng bảo tồn mô răng, hạn chế tối đa việc mài răng

So sánh kết quả mài răng bọc sứ thông thường và mài răng bảo tồn dán Veneer
Công nghệ răng sứ veneer cho phép các nha sĩ chỉ cần mài 1 lớp mỏng bề mặt răng, khoảng 0,6 – 0,8 mm hoặc mỏng hơn nữa để chụp răng sứ Veneer có độ dày tương ứng lên trên, che đi toàn bộ mặt ngoài xấu xí của răng.
Tỷ lệ mài răng này chỉ bằng ½ so với kỹ thuật mài cùi làm chụp răng thông thường. Do đó, với răng sứ Veneer, răng thật được bảo tồn tối đa nhờ việc hạn chế tối đa mài răng.
⇒ Công nghệ sứ Veneer an toàn và đảm bảo cấu trúc răng thật tốt nhất
Ưu điểm so với các phương pháp bọc răng sứ thẩm mỹ khác là quy trình làm răng sứ veneer không tác động sâu vào cấu trúc răng, không ảnh hưởng đến tủy răng nên không gây kích ứng và đau buốt trong và sau khi thực hiện.
Khả năng duy trì độ bền cao
Đội ngũ bác sỹ tại Nha Khoa Châu Thành giỏi, kỹ thuật tốt, độ kín khít của mặt dán răng sứ với mô răng thật có thể đạt tỷ lệ tuyệt đối. Nhờ thế, mặt dán răng sứ Veneer sẽ bám chắc vào răng ở mức tốt nhất.
Miếng dán Veneer và làm chụp răng sứ có điểm gì khác?
|
RĂNG SỨ VENEER |
CHỤP RĂNG |
|
| KỸ THUẬT | Đòi hỏi sự khéo léo và chuyên môn cao hơn | Đòi hỏi sự khéo léo và chuyên môn cao |
| VỊ TRÍ MÀI | Mài bớt mặt trước của răng và lắp răng sứ veneer | Mài cùi và lắp chụp sứ |
| THẨM MỸ | Tốt | Rất tốt |
| TỶ LỆ MÀI RĂNG | Rất ít, chỉ khoảng 0,6 – 0,8 mm hoặc nhỏ hơn | Nhiều hơn |
| HÌNH THỂ SAU KHI LẮP | Giống mặt trước của răng | Giống toàn thân răng thật |
| ĐAU Ê RĂNG | Ít hơn làm chụp răng | Cảm giác ê răng kéo dài hơn khi làm mặt dán |
| VẬT LIỆU ƯU TIÊN | Cercon HT, Nacera, Ceramill (Đức, Mỹ) (Không chọn sứ kim loại) |
Cercon – E.Max – Titan (Đức, Mỹ) (Sứ không kim loại được ưu tiên khuyên dùng) |
Quy trình dán Veneer nhanh gọn, tiết kiệm thời gian
Lần 1: Thăm khám và tư vấn, gây tê và mài bớt mặt răng, lấy dấu răng
Lần 2: Gắn cố định răng sứ Veneer
Toàn bộ quá trình dán mặt sứ Veneer cho mỗi lần là khoảng 120 – 180p (Thời gian này có thể ngắn hoặc lâu hơn tùy thuộc vào số lượng răng cần dán sứ). Kết quả được duy trì ổn định, lâu dài.
>>> Tham khỏa VIDEO quy trình lắp miếng dán Veneer tại nha khoa Châu Thành
**BẠN MUỐN TƯ VẤN THÊM VỀ MIẾNG DÁN VENEER**
![]()
Hoặc







Bọc răng sứ – Bọc càng nhiều – Giảm càng sâu. Ưu đãi lên đến 20{c259f37f497399d2fdfb32a8cf3a516884364a415248c8683ee21adc4f79f823}
[OFF 20{c259f37f497399d2fdfb32a8cf3a516884364a415248c8683ee21adc4f79f823}] Cơ hội lớn cho khách hàng Cấy ghép Implant
Đại tiệc sinh nhật 6 tuổi – Châu Thành [OFF 20{c259f37f497399d2fdfb32a8cf3a516884364a415248c8683ee21adc4f79f823}] chi phí thẩm mỹ nha khoa
Trả góp lãi suất 0{c259f37f497399d2fdfb32a8cf3a516884364a415248c8683ee21adc4f79f823} – Thẩm mỹ nha khoa – Không lo về giá
Cấy ghép răng implant và những thắc mắc thường gặp
Độ tuổi cấy ghép implant tốt nhất
Những câu hỏi thường gặp về niềng răng
Những thói quen hàng ngày làm răng xấu
Bọc răng sứ có đau không?
Có nên bọc răng sứ thẩm mỹ khi mang thai?
Bọc răng sứ thẩm mỹ sử dụng được bao lâu?
Những điều cần biết về tẩy trắng răng



















