Vì sao cần thay thế răng bị mất? Việc mất một hay nhiều răng sẽ ảnh hưởng trực tiếp tới khả năng ăn nhai và sức khỏe của mỗi người. Lựa chọn giải pháp hàm tháo lắp răng giả không chỉ giúp lấy lại khả năng ăn nhai tốt mà còn mang lại tính thẩm mỹ cho nụ cười của bạn.

Có những phương pháp nào để thay thế răng bị mất?
Có ba phương pháp để thay thế răng bị mất, đó là Hàm giả tháo lắp, làm răng giả gắn chặt và Cấy ghép răng (Dental implant ).
Hàm giả tháo lắp được chia làm hai loại: hàm giả tháo lắp và hàm giả cố định.
Hàm giả tháo lắp gồm có nền hàm để giúp hàm giả bám vào niêm mạc miệng và các răng bên cạnh cùng với các răng giả được cấy trên nền hàm đó.
Nền hàm có thể làm từ nhựa cứng, nhựa dẻo hoặc đúc bằng thép.
– Nền hàm bằng NHỰA DẺO (BIOSOFT) là ứng dụng về vật liệu mới nhất hiện nay. Nó có tính đàn hồi cao tạo nên cảm giác dễ chịu cho bệnh nhân.
– Hàm giả tháo lắp có ưu điểm là tương đối rẻ (so với các hàm cố định cùng loại vật liệu), không phải mài răng và dễ làm vệ sinh.
– Nhược điểm của hàm giả tháo lắp là có cảm giác vướng, ăn nhai yếu hơn, dễ rơi mất và ít thuận tiện hơn do phải tháo ra lắp vào hàng ngày.
Lựa chọn hàm giả tháo lắp của bạn là gì?

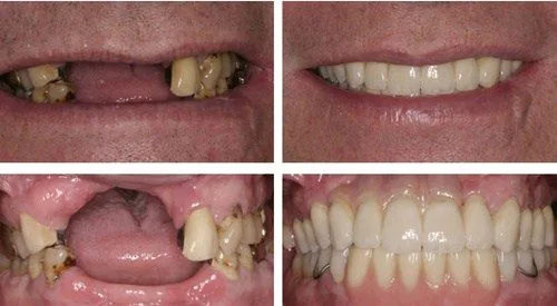
Kết quả khách hàng sử dụng hàm giả tháo lắp (*)
Răng giả thông thường được chia làm 2 loại chính: Răng giả tháo lắp và Răng giả cố định. Tuy nhiên đôi lúc chúng ta hay nghĩ rằng chỉ có răng giả tháo lắp mới là “răng giả”. Các Phục Hình Răng Giả Tháo Lắp là các loại răng giả có thể lấy ra lắp vào thường ngày. Sau đây xin giới thiệu đến Quý Khách một số loại hình răng giả tháo lắp phổ biến.
Hàm giả là loại phục hình tháo lắp thay thế cho một vài răng mất hoặc mất toàn bộ răng.Tháo Lắp Răng Nhựa, Sứ & Hàm khung
Hàm khung làm nền cho hàm nhựa
Các răng được đúc sẵn bằng nhựa hay bằng sứ và Kỹ Thuật Viên chỉ việc chọn bộ răng đúng kích cỡ và xếp vào đúng vị trí.
Qui trình làm tương đối đơn giản.
Giá thành rẻ do ít cần đầu tư máy móc thiết bị.
Nếu bị gãy vỡ có thể hàn – tái tạo lại được.
Tuy nhiên ăn nhai cảm giác hơi lỏng lẻo, không được chắc chắn.
Sau một thời gian sử dụng có thể bị ngấm dịch miệng và có mùi hôi.
Khi ăn nhai nhiều có thể làm cấn đau nướu.
– Hàm Biosoft – Hàm Tháo Lắp Nhựa Mềm (răng có thể là răng sứ hay răng nhựa)

Các răng được đúc sẵn bằng nhựa hay bằng sứ và Kỹ Thuật Viên chỉ việc chọn bộ răng đúng kích cỡ và xếp vào đúng vị trí.
Qui trình làm tương tự tháo lắp nhựa nhưng phức tạp hơn.
Giá thành hơi cao do do vật liệu là nhựa mềm và bộ công cụ phải nhập từ nước ngoài.
Ăn nhai có cảm giác êm hơn so với tháo lắp nhựa thông thường.
– Tháo Lắp Nhựa, Sứ – Hàm Khung và Attachment (Khung liên kết):

Hàm tháo lắp bán cố định – kết hợp Attachment có qui trình làm phức tạp hơn răng tháo lắp nhựa và cần phối hợp lâm sàng tốt.
Thông thường được thực hiện gắn dạng bản lề (âm dương) với một phục hình cố định.
Ăn nhai có cảm giác chắc chắn hơn.
Giá thành cao hơn răng tháo lắp nhựa.
Ngoài ra. còn một số loại hàm tháo lắp khác nhưng ít phổ biến:
Tháo Lắp các loại kết hợp với Implant.
Liên kết giữa hàm giả tháo lắp và xương hàm tốt hơn nhờ các nối động abutment.
Implant được chỉ định sử dụng trong trường hợp mất răng lâu ngày và không đủ xương để đặt implant.
Ăn nhai chắc chắn hơn so với tất cả các loại tháo lắp khác
Bạn muốn nha khoa tư vấn cụ thể từng dòng hàm răng giả tháo lắp
![]()
Hoặc







Bọc răng sứ – Bọc càng nhiều – Giảm càng sâu. Ưu đãi lên đến 20{c259f37f497399d2fdfb32a8cf3a516884364a415248c8683ee21adc4f79f823}
[OFF 20{c259f37f497399d2fdfb32a8cf3a516884364a415248c8683ee21adc4f79f823}] Cơ hội lớn cho khách hàng Cấy ghép Implant
Đại tiệc sinh nhật 6 tuổi – Châu Thành [OFF 20{c259f37f497399d2fdfb32a8cf3a516884364a415248c8683ee21adc4f79f823}] chi phí thẩm mỹ nha khoa
Trả góp lãi suất 0{c259f37f497399d2fdfb32a8cf3a516884364a415248c8683ee21adc4f79f823} – Thẩm mỹ nha khoa – Không lo về giá
Cấy ghép răng implant và những thắc mắc thường gặp
Độ tuổi cấy ghép implant tốt nhất
Những câu hỏi thường gặp về niềng răng
Những thói quen hàng ngày làm răng xấu
Bọc răng sứ có đau không?
Có nên bọc răng sứ thẩm mỹ khi mang thai?
Bọc răng sứ thẩm mỹ sử dụng được bao lâu?
Những điều cần biết về tẩy trắng răng



















