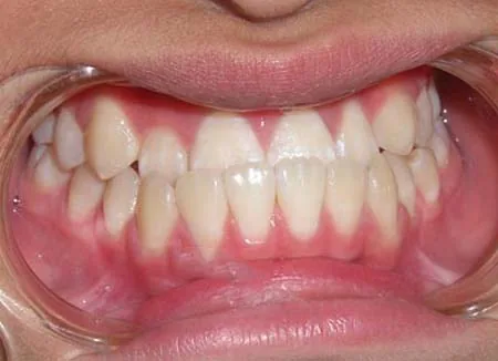
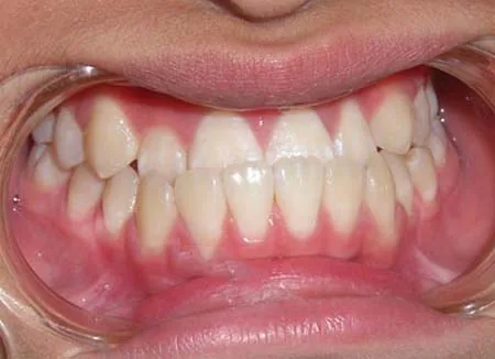
nieng-4-rang-cua-gia-bao-nhieu-2
Tin nổi bật
DỊCH VỤ NỔI BẬT
HỖ TRỢ ĐIỀU TRỊ NHA KHOA
Video
Khách hàng quan tâm
Bọc răng sứ – Bọc càng nhiều – Giảm càng sâu. Ưu đãi lên đến 20{c259f37f497399d2fdfb32a8cf3a516884364a415248c8683ee21adc4f79f823}
[OFF 20{c259f37f497399d2fdfb32a8cf3a516884364a415248c8683ee21adc4f79f823}] Cơ hội lớn cho khách hàng Cấy ghép Implant
Đại tiệc sinh nhật 6 tuổi – Châu Thành [OFF 20{c259f37f497399d2fdfb32a8cf3a516884364a415248c8683ee21adc4f79f823}] chi phí thẩm mỹ nha khoa
Trả góp lãi suất 0{c259f37f497399d2fdfb32a8cf3a516884364a415248c8683ee21adc4f79f823} – Thẩm mỹ nha khoa – Không lo về giá
Tin đọc nhiều nhất
Cấy ghép răng implant và những thắc mắc thường gặp
Độ tuổi cấy ghép implant tốt nhất
Những câu hỏi thường gặp về niềng răng
Những thói quen hàng ngày làm răng xấu
Bọc răng sứ có đau không?
Có nên bọc răng sứ thẩm mỹ khi mang thai?
Bọc răng sứ thẩm mỹ sử dụng được bao lâu?
Những điều cần biết về tẩy trắng răng




























